YOUR ONE STOP SOLUTION FOR ALL DENTAL TREATMENT

Our services

 
 

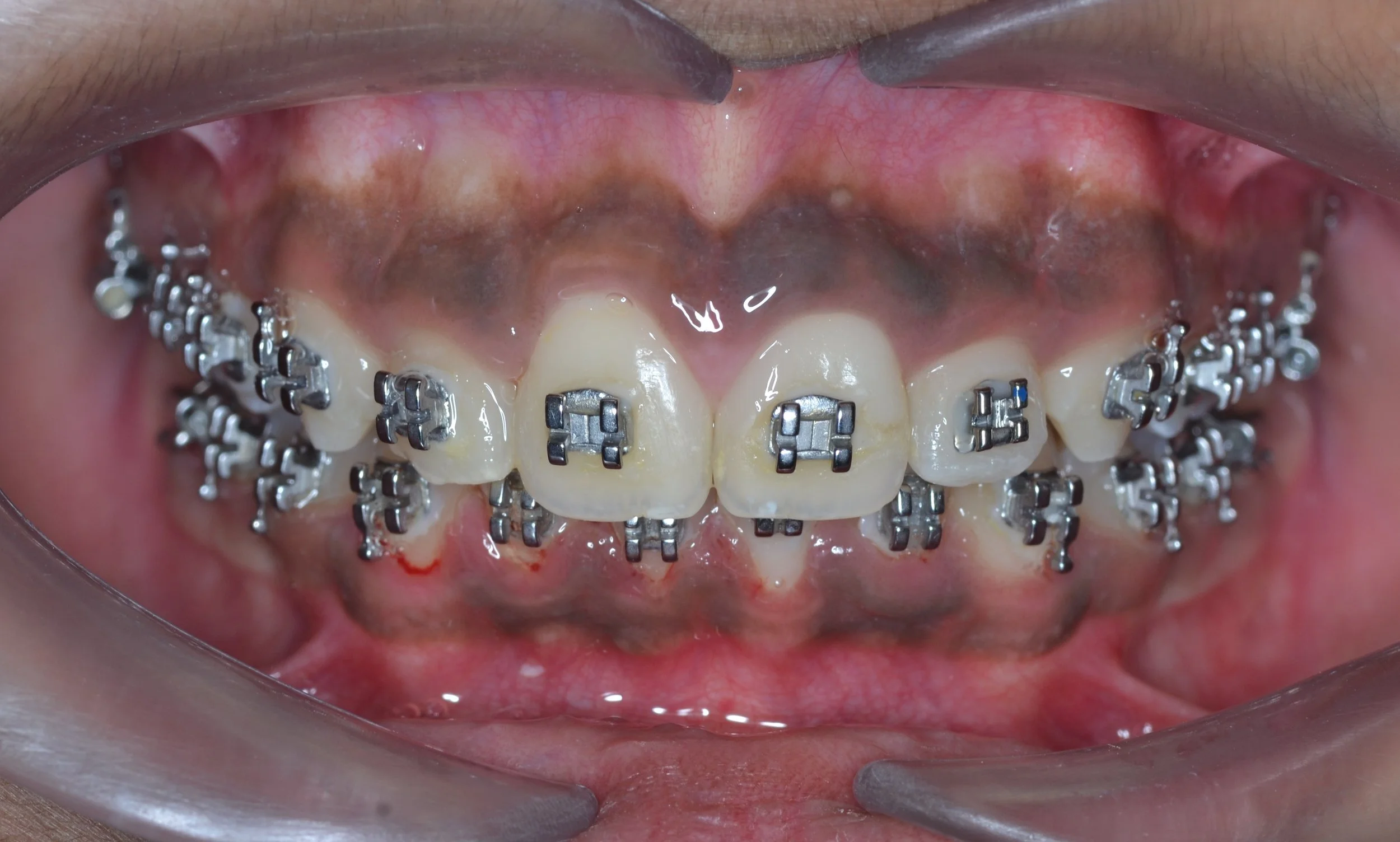
Metal Brackets

Metal brackets are most widely used for orthodontic treatment. They appear in metallic colour and visible. The wires are attached to the brackets using coloured, grey or transparent elastic modules.

 
 

Self Ligating Brackets

These brackets are more advanced than the conventional ones. In these systems the wires are attached to the brackets using locking mechanisms in the bracket itself. No elastic modules are used and the wires are constantly in contact. These have been proven to be more efficient and faster than the conventional bracket system.

 
 

Ceramic brackets

These are transparent or near tooth colored making it significantly less visible. They are made of either monocrystalline or polycrystalline materials. The wires are attached to the brackets using transparent elastic modules

 
 

Aligners

These are the latest trends in orthodontics and are almost completely invisible. They are fabricated using 3-D printed models and specific tooth movements are programmed into the aligners. The number of aligners vary according to the complexity and the type of tooth movement required.

 

Book a consultation
 

New Trends.

 

Functional appliances

Mini Implant assisted orthodontics

Mini Implant Assisted Rapid Palatal Expansion (MARPE)

3-D Intraoral Scanning

3-D Assisted Surgical Planning

3-D Printing

Questions before getting started? Get in touch.